[여드름 없는 피부를 관리하기 위해 우리는 어떤 노력을 해야할까?]
1. 세수를 벅벅 세게 하는 것이 좋을까?
과도한 세안 또는 강한 알칼리성 비누 사용은 피부의 지질층을 파괴하여 여드름 치료에 사용되는 국소 도포제를 바를 때 생기는 자극을 더욱 유발할 수 있으며, 각질 제거 제품을 과하게 사용하면 피부에 물리적인 자극이 가해져 여드름을 악화시킬 수 있으므로 주의해야 합니다.
2. 평상시 자세가 문제 일까?
턱을 괴고 있는다든지, 엎드려서 자는 것과 같이 피부에 압박이나 마찰을 가하는 생활 습관도 여드름을 심하게 발전시킬 수 있어 피하는 것이 좋습니다. 함부로 손을 이용해 짜는 것은 여드름 염증을 유발시키며 흉터를 남기기 쉬우므로 피해야 합니다.
3. 폼클렌징이나 비누는 어떤 것을 선택해야 할까?
세정제는 피부의 정상 pH를 유지할 수 있는 자극이 없는 제품들을 선택하여 하루에 두 번 세안하고, 세안 후 화장품을 바르기 전 여드름 치료용 도포제를 바르는 것이 추천됩니다. 트리클로산(triclosan) 등 항균 효과가 있는 비누를 사용하는 것이 여드름에 좋은지는 명확하게 알려져 있지 않습니다. 하지만 벤조일과산화물 또는 살리실산이 함유된 세정제는 등과 같이 손이 잘 닿지 않는 곳에 생기는 여드름의 치료에 도움을 줄 수 있습니다.
4. 화장을 하거나 다른 물질들이 닿는것은 어떻게 하면 좋을까?
또한 머리카락이 이마나 얼굴에 직접 닿지 않도록 하며, 얼굴과 머리카락이 접촉할 기회가 많은 베개 등을 청결하게 관리하도록 합니다. 과도하게 유분이 많은 화장품은 모공을 막을 수 있으므로 피하고, 화장을 하고 있는 시간을 줄이는 것이 좋습니다.
5. 여드름이 생길때 피해야 하는 것은?
스트레스나 과로, 흡연 및 음주를 피하는 것도 여드름 관리에 중요한 부분입니다. 자는 동안 분비되는 성장 호르몬이 피부를 재생하는 기능을 가지기 때문에 잠을 잘 자는 것이 좋습니다. 육류, 기름진 음식, 초콜릿, 유제품과 같은 음식물이 여드름에 영향을 미친다는 견해는 아직까지 논란이 있지만 육류나 인스턴트 위주의 식사는 피하고, 균형 잡힌 영양을 섭취합니다. 만약 특정 음식물을 먹은 후 여드름이 악화된다면 그 음식물은 되도록 먹지 않도록 합니다.
[네이버 지식백과] 여드름 없애고 깨끗한 피부를 유지하려면 평상시 어떻게 관리해야 하나요? (서울대학교병원 건강칼럼)
-> 여드름에 대해 자세히 알아보자
1. 언제 주로 나타나는가?
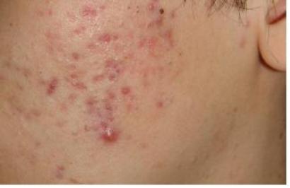
여드름은 주로 얼굴, 목, 가슴, 등, 어깨 부위에 면포, 구진, 고름물집, 결절, 거짓낭 등이 발생하는 염증성 피부질환입니다. 여드름은 대개 10대 초반에 발생하나, 20대 전후에 증상이 심해질 수도 있으며, 30대와 40대 성인에게도 발생할 수 있습니다. 치료를 하지 않아도 보통 수년 후에 없어지지만 치료하지 않을 경우 영구적인 흉터를 남길 수 있어 미용적인 문제가 되며, 생명을 위협하는 병은 아니지만 환자에게 심리적인 부담을 줍니다. 따라서 평상시에 여드름이 생기지 않게 하기 위한 피부 관리를 하는 것과 여드름의 치료에 관심을 가지는 것이 중요합니다.
2. 여드름의 원인
1) 여드름은 여성과 남성 모두에게 있는 남성호르몬에 의해 활성화 되는데, 사춘기 동안 증가된 남성호르몬은 피부의 피지선(피부 기름샘)을 커지게 합니다.
2) 여드름을 설명하려면 피지선과 피지에 대해 먼저 알아야 합니다.
- 피지선은 여드름이 흔히 발생하는 얼굴, 등, 가슴 부위에 많이 존재합니다.
- 피지선은 모낭이라 불리는 모발을 포함한 관과 연결되어 있으며, 이들 피지선에서 피지라 불리는 기름 물질이 생성됩니다.
- 정상 상태에서 이 피지는 모낭의 열린 부분을 통해 피부 밖으로 배출되지만, 피지 분비가 많아지면 피지가 모낭의 내벽을 자극하여 내벽세포가 더 빨리 탈락하게 만들고, 이 탈락한 세포들은 엉겨서 모낭의 구멍을 막습니다. 이것이 여드름의 기본 병변인 면포(comedone, 모낭 속에 고여 딱딱해진 피지)가 됩니다.
3) 모낭 내에 상주하는 균(Propionibacterium acnes)은 지방분해효소를 분비합니다.
이 효소가 피지 중의 중성지방을 분해하여 유리 지방산을 형성하는데, 형성된 유리 지방산은 다시 모낭을 자극하여 모낭 벽을 터트립니다. 결국 피지, 세균, 탈락된 세포들이 피부로 방출되어 홍반, 부종, 고름을 생기게 합니다.
4) 여드름 균(Propionibacterium acnes)에 대한 면역학적 반응이 여드름의 염증 반응에 기여하게 됩니다. 또한, 여드름 발생에 가족력이 있다는 것은 잘 알려진 사실입니다. 그러나 정확한 유전 양식은 아직까지 확실하지 않습니다

3. 여드름의 치료
1) 여드름은 치료의 목적은 여드름의 완치라기보다는 치료기간 동안 여드름을 없애고, 깨끗한 상태를 유지하는 것입니다. 또한 흉터가 생기지 않도록 예방하는 것도 중요합니다. 여드름 치료를 중단하면 다시 재발하는 경우가 많습니다.
2) 우선 여드름은 원인과 상태에 따라 치료가 다릅니다. 염증이 없고 경미한 경우에는 바르는 약만을 사용하는 것이 보통입니다. 그러나 흉터가 남을 수 있는 염증성 여드름과 염증이 없는 여드름이라도 많이 돋아 있는 경우에는 바르는 약과 약물복용을 병행하여야 여드름이 새로 생기는 것을 막을 수 있고 흉터도 예방할 수 있습니다.
3) 여드름치료의 첫 걸음은 피부를 깨끗이 하는데 있습니다. 정성을 들여서 여러 번 세안하는 것은 매우 효과적이며 이는 모공에서 피지의 배출을 쉽게 합니다.
4) 여드름에 사용하는 약물은 여드름 세균에 대한 살균 작용이 있는 항생제를 사용합니다. 또한 염증을 줄여주는 약제를 같이 사용하며, 피지가 많이 분비되거나 낭포성 여드름의 경우는 피지 생성을 감소시키는 약물 치료가 필요합니다. 연고제에는 항균 작용을 하는 성분이 포함되어 있습니다. 일부 연고에는 유리지방산을 감소시켜 염증성 여드름에 효과가 있습니다. 이외에도 광역동치료, 화학적 박피 등 여러 가지 치료방법이 있습니다.
'의학' 카테고리의 다른 글
| 고지혈증 (hyperlipidemia), 이상지질혈증(dyslipidemia) (0) | 2023.04.11 |
|---|---|
| 소양증, 가려움증 (0) | 2023.04.11 |
| 규칙적인 배변을 하지않으면 몸에 독소가 쌓이는가 (0) | 2023.04.09 |
| 광견병 (Rabies) (0) | 2023.04.08 |
| 미세먼지 삼겹살 신체질환 (0) | 2023.04.08 |
댓글